Cabinet du Dr Sahra BENJEDDAOUI successeur du Dr Sylvie BENSOUSSAN
Dentiste Marseille 8 Medecine Bucco-dentaire - Marseille 13008
Cabinet du Dr Sahra BENJEDDAOUI successeur du Dr Sylvie BENSOUSSAN
Dentiste Marseille 8 Medecine Bucco-dentaire - Marseille 13008

7 parc Jean Mermoz
13008 Marseille

Blog - Page 14

L'EMPREINTE OPTIQUE

L'EMPREINTE OPTIQUE

Dans les traitements numériques de restauration dentaire, l’empreinte des dents se fait à l’aide d’une caméra qui filme les surfaces dentaires.

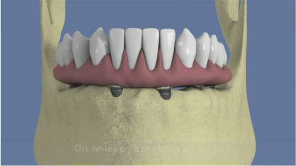
Mandibule complète et traitement implantaire pour un bridge fixe vissé

Mandibule complète et traitement implantaire pour un bridge fixe vissé

Blanchiment au fauteuil

Blanchiment au fauteuil

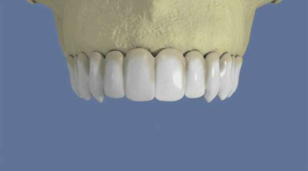
Maxillaire : bridge vissé sans fausse gencive

Maxillaire : bridge vissé sans fausse gencive

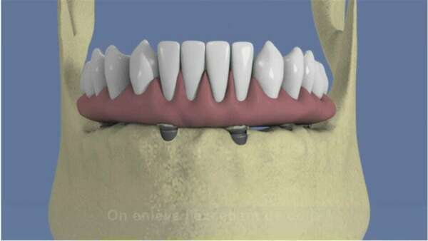
Mandibule complète et traitement implantaire pour un bridge fixe scellé

Mandibule complète et traitement implantaire pour un bridge fixe scellé

Maxillaire : bridge complet scellé sans fausse gencive

Maxillaire : bridge complet scellé sans fausse gencive

Affichage des articles 79-84 sur 374

Création par Webdentiste

Connexion